We all have flaws. We all have insecurities and demons that present themselves in our lives and while some peoples may be louder than others, we all have them. Everyone has something they don’t necessarily love about themselves, maybe something they try to hide or cover up. Maybe it’s something that is completely unfounded, no matter how perfect someone’s Instagram feed is though, they too have insecurities.
When I was growing up I HATEDDDD my ears. Unfortunately for me I received the perfect little concoction of genes (ears that stick out from my mom and large ears from my dad,) and they gave me one of my biggest insecurities. I sympathize when I hear about children getting plastic surgery to pin their ears back. As a child I wished I was that kid. I begged my mom to get me surgery every summer. It never happened (even though it was a big consideration,) so I went on with my life wearing my hair down at ALL times. Now I’m 25 and I could literally care less about my ears. I mean, I still don’t think they’re cute ha but mine aren’t the worst in the world either so now I totally rock them without a second thought.
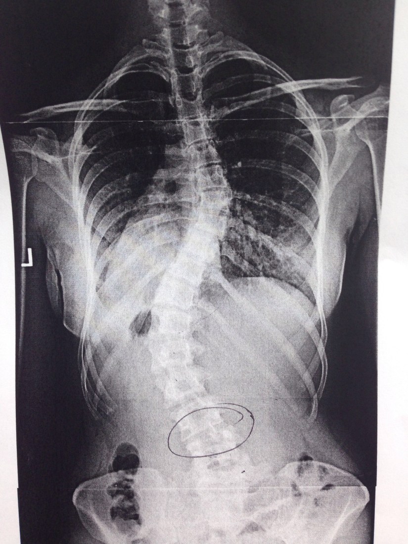
These days my main insecurity revolves around something that could have been prevented. I have pretty bad scoliosis. How I could have prevented it is a story for another time, all that matters is that I have it, it’s pretty bad, and it bugs me. I’m actually very lucky, I haven’t had issues with pain since high school so it really could be a lot worse. I do yoga, Pilates, get yearly x-rays, and basically do everything I can to maintain core strength to help keep it that way. On a daily basis I don’t really notice it, no one does. Most people don’t even realize I have it until I bring it up. But somehow I still find myself holding back tears sometimes when a Yoga instructor calls me out during class, a X-ray technician mentions how “crazy curved” my back is, or a new doctor wants to “make sure I know” that I have “severe scoliosis.” (like… duh. Ha come on!)
Sometimes I feel shame and embarrassment when someone notices my scoliosis without me mentioning it. It’s like my own dark little secret that I want to have complete control over so when someone else notices it, I am pretty caught off guard. A lot of time in Yoga instructors will be very hands on. They basically walk around and help students stay in correct alignment and deepen their practice. This is probably the hardest thing for me. I hate when the instructor comes to me. More often than not they notice my scoliosis and then offer alternative moves that might be easier for me. I think that’s where the shame comes in. I don’t want to be different; I don’t think anyone really does. I want to be able to do everything everyone else does and I take a lot of time and energy doing so. So when someone calls me out I get embarrassed and feel like I have to defend myself. I am working on that though and am really trying to embrace my scoliosis these days. Open back anything is my jam and honestly over time I’ve come to realize that I can do everything everyone else is doing.
So basically the moral of my crazy rambling is just to try and embrace your flaws. We all have them and most likely no one even notices yours besides yourself. We all only have one life to live so we might has well embrace what we are given instead of constantly comparing ourselves to others because in reality they too have their own flaws.
